ΟΛΟΚΕΡΑΜΙΚΕΣ ΑΠΟΚΑΤΑΣΤΑΣΕΙΣ
Ολοκεραμικές Οψεις
![]() ![]() |
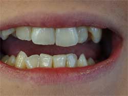
Μονήρης Όψη σε αποχρωματισμένο δόντι |
![]() ![]() |
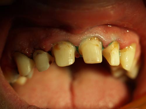
Συνδιασμός όψεων και ολοκεραμικών e.max των έξι άνω προστίων |
![]() ![]() |
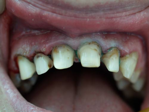
Όψεις e.max των έξι άνω προστίων |
![]() ![]() |
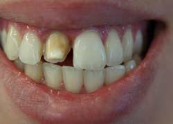
Μονήρης Όψη |
Ολοκεραμικές Στεφάνες |
|
![]() ![]() |
Ολοκεραμική όψη για διόρθωση υπερώιας κλίσης κεντρικού τομέα |
![]() ![]() |
Αποκατάσταση άνω γνάθου με δεκατέσσερις (14) ολοκεραμικές στεφάνες |











